Kim and Ron's Baby Girl

Click on the pictures below to get a larger picture of soon-to-be baby girl.

Pregnancy at 10 Weeks


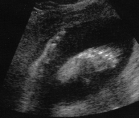
Ultrasound of the baby at 10 weeks
Here the baby is approximately 3.2 cm's



Closeup of the baby


Pregnancy at 16 Weeks


What a difference 6 weeks make! Looks like
the baby has my nose and Kim's eyes.


Pregnancy at 28 Weeks


Another close up side view.


Look at those feet all curled up.


First facial view.



Kim at 36 Weeks


Side view of Mommy.


Mommy showing some skin.


Frontal view.

Check out a small video of us:


Brought to you courtesy of Kim and Ron Weiss.
Back to Ron's Homepage.